New research, examining genes in tissue samples from women with DCIS, has identified a set of genes which could be used as markers to predict if the DCIS will progress to invasive cancer or not.
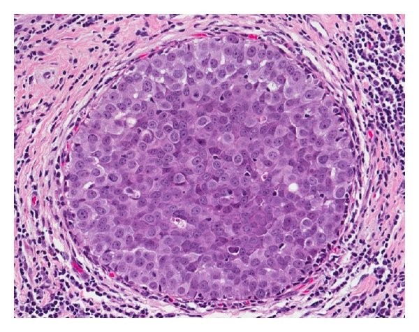
Ductal carcinoma in situ (DCIS) is currently classed as ‘pre-invasive cancer’ that has not yet spread beyond the ducts of the breast. It is often picked up on a mammogram, where tell-tale patterns of microcalcifications, specific to DCIS, can be seen. Because there is no way of predicting when it will progress and become invasive breast cancer, the standard treatment is surgery to remove the affected areas (wide local excision or mastectomy) and sometimes also radiotherapy to ‘mop up’ any remaining problematic cells.
In order to understand DCIS better, US cancer researchers have been making a molecular atlas of genes in DCIS tissue by examining samples taken from 542 patients at the time of their surgery (median = 7.4 years ago). By comparing the genes of those whose breast cancer had returned in that time to those who had not had a recurrence, the researchers were able to identify 812 genes associated with recurrence within 5 years of treatment. Potentially, these genes could be used as ‘markers’ to identify patients at higher risk of recurrence at treatment time, and for their treatment and surveillance plans to be tailored to take this into account.
You can read more about this study here and more about DCIS in New Zealand at our member group Breast Cancer Foundation NZ’s website here.
